理科教材データベース
岐阜大学教育学部理科教育講座(地学)
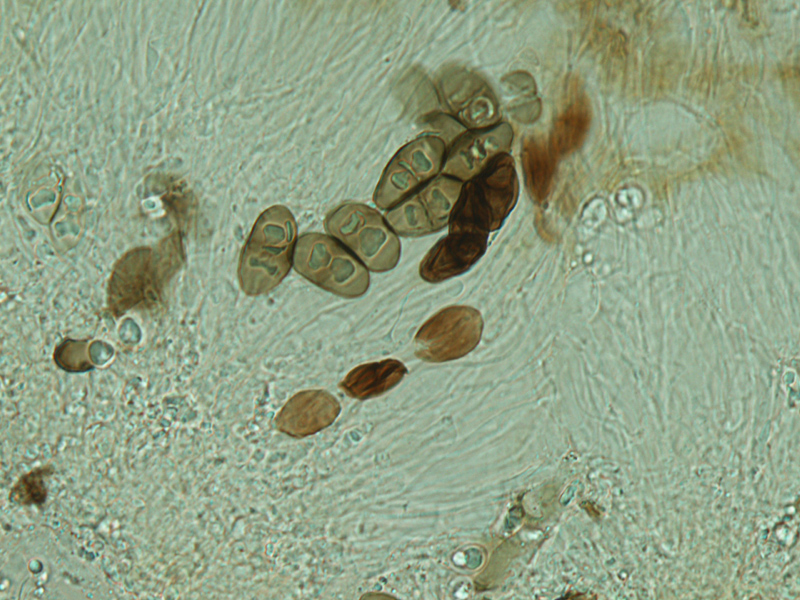
未同定




2011年12月7日に観察しました。K反応。
Photo =S.Kawakami.